By Laura Schultz  |  March 21, 2016

Category: Legal News

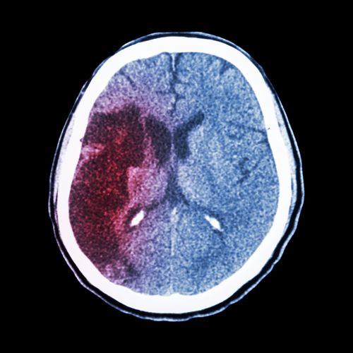
Xarelto accused of causing cerebral hemorrhageTaking the blood thinning medication Xarelto? Take care not to slip and fall, as Xarelto may increase the risk of cerebral hemorrhage in patients who are taking Xarelto and hit their head in a fall.

That warning may come too late for some people. Those patients who have suffered from cerebral hemorrhage while taking Xarelto may be able to join a Xarelto lawsuit investigation.

Following reports of dangerous side effects associated with the blood thinning medication, Xarelto lawsuit lawyers are investigating Xarelto’s manufacturer for possibly violating consumer protection laws and failing to warn the medical community and the general public about dangerous side effects, including internal brain bleeding.

What is Xarelto?

Xarelto, generically known as rivaroxaban, is a popular anticoagulant. The FDA approved the medication in 2011 to prevent blood clots from forming after surgery. The blood thinning medication is advertised as a superior alternative to more traditional anticoagulants such as warfarin, or Coumadin.

Despite it’s advertised strengths, the medication allegedly works too well in certain cases. Xarelto lawsuits have detailed instances where patients have suffered uncontrollable bleeding while taking the medication.

When a patient taking Xarelto experiences an uncontrolled bleed, medical professionals must work to deactivate the anticoagulant medication so that the body can once again naturally form clots. Unfortunately for patients who experience uncontrolled bleeding, like internal brain bleeding, Xarelto does not have an FDA-approved reversal agent. In fact, the medication binds so tightly to the body’s plasma proteins that even dialysis cannot de-activate the anticoagulant effects.

An uncontrolled bleed can be the result of various factors, including something as simple as a patient slipping and falling.

What is Cerebral Hemorrhage and Internal Brain Bleeding?

A cerebral hemorrhage is a type of stroke. The hemorrhage occurs when an artery in the brain bursts and causes bleeding in the surrounding tissue. Cerebral hemorrhage is a serious condition that requires medical treatment. In some cases, the cerebral hemorrhage can lead to death.

Persons taking Xarelto who fall and hit their head may be at risk of developing a cerebral hemorrhage or internal brain bleeding.

Patients who experience a cerebral hemorrhage generally require emergency brain surgery to relieve the pressure that builds up in the skull. The surgery requires drilling a small hole in the patient’s skull to drain the blood.

If the patient survives the initial cerebral hemorrhage, brain bleed recovery may take several months. Brain bleed recovery efforts generally require physical, occupational, and speech therapy. Some patients recover completely while others may have residual problems such as seizures, headaches, or memory problems. While many patients do survive a brain hemorrhage, survival rates decrease when the bleed occurs in certain areas or if the initial bleeding is very large.

Xarelto Lawsuit Lawyers

Xarelto lawyers are available for potential plaintiffs looking to bring cerebral hemorrhage lawsuits against Xarelto’s manufacturer. Xarelto is manufactured by Bayer and marketed in the U.S. by Janssen Pharmaceuticals, a Johnson & Johnson subsidiary.

Plaintiffs who bring successful lawsuits may receive compensation for their pain and suffering, as well as payment for past and future medical bills. Xarelto lawsuits can be brought by victims themselves or by family members who lost loved ones to Xarelto side effects.

Do YOU have a legal claim? Fill out the form on this page now for a free, immediate, and confidential case evaluation. The Xarelto attorneys who work with Top Class Actions will contact you if you qualify to let you know if an individual lawsuit or Xarelto class action lawsuit is best for you. [In general, Xarelto lawsuits are filed individually by each plaintiff and are not class actions.] Hurry — statutes of limitations may apply.

Learn More

Get Help – It’s Free

Join a Free Xarelto Class Action Lawsuit Investigation

If you or a loved one took Xarelto (rivaroxaban) and suffered injuries such as uncontrollable internal bleeding, gastrointestinal bleeding, hemorrhaging, deep vein thrombosis or pulmonary embolism, you may have a legal claim. See if you qualify by filling out the short form below.

An attorney will contact you if you qualify to discuss the details of your potential case at no charge to you.

Oops! We could not locate your form.

We tell you about cash you can claim EVERY WEEK! Sign up for our free newsletter.


Leave a Reply

Your email address will not be published. By submitting your comment and contact information, you agree to receive marketing emails from Top Class Actions regarding this and/or similar lawsuits or settlements, and/or to be contacted by an attorney or law firm to discuss the details of your potential case at no charge to you if you qualify. Required fields are marked *

Please note: Top Class Actions is not a settlement administrator or law firm. Top Class Actions is a legal news source that reports on class action lawsuits, class action settlements, drug injury lawsuits and product liability lawsuits. Top Class Actions does not process claims and we cannot advise you on the status of any class action settlement claim. You must contact the settlement administrator or your attorney for any updates regarding your claim status, claim form or questions about when payments are expected to be mailed out.