Understanding the Different Types of Asbestos Mesothelioma
By Andrea Gressman
Asbestos exposure can lead to the development of a rare type of cancer known as mesothelioma. As with most cancers, mesothelioma may be malignant of benign — although rarely is it benign. Currently, there are three main forms of malignant mesothelioma cells: mixed/biphasic, epithelioid, and sarcomatoid. Of the three main malignant mesothelioma cell types, epithelioid is the most common, occurring in approximately 50 to 70% of the cases reported. Fortunately, this type of mesothelioma has the highest chance of survival. Because of the expense involved in treatment for mesothelioma, many have opted to file a mesothelioma lawsuit to cover the cost of their medical care.
The Different Types of Asbestos Mesothelioma
Along with the three different types of malignant mesothelioma cells, there are actually three different types of mesothelioma: pleural mesothelioma, peritoneal mesothelioma, and benign mesothelioma. The different types of mesothelioma effect different areas of the body. No matter what area of the body is affected, mesothelioma is considered fatal. The sooner it is detected, the higher the survival right is, as with any other type of cancer.
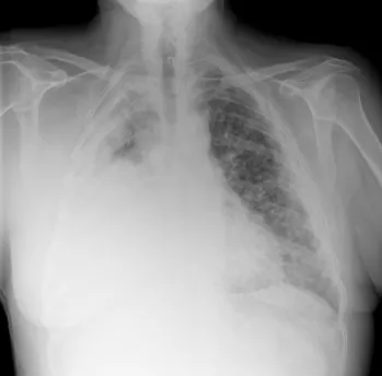
Plural Mesothelioma
Plural mesothelioma affects the lining around the lungs known as the pleural sac. This is the most common form of mesothelioma. The pleural sac is made up of a thin membrane commonly referred to as the mesothelium. It should be noted that the mesothelium secretes fluids that allow the lungs to expand and contract as part of the normal breathing process. Inhalation of asbestos fibers causes those fibers to stick to the pleural cavity, making it difficult to breathe.
Peritoneal Mesothelioma
Peritoneal mesothelioma occurs in the peritoneum, which is a collection of cell membranes that surround the gastrointestinal tract. The symptoms associated with this type of mesothelioma are often very subtle, making it difficult for earlier detection and diagnosis, which is why the survival rate associated with peritoneal mesothelioma is approximately 1 to 5 years after diagnosis. Fortunately, medical technology continues to advance each year, making it possible to extend the quality of life for those who suffer from this type of mesothelioma.
Benign Mesothelioma
Last, but not least is benign mesothelioma. Benign mesothelioma, like other forms of mesothelioma may remain dormant for years before symptoms form. This type of asbestos is rare and although it is not life threatening on a direct level, it does still relate to significant amounts of asbestos exposure, which could be dangerous in other ways. Once doctors discover the presence of benign mesothelioma, they usually begin the process of discovering other conditions related to asbestos exposure. Benign mesothelioma is described as the presence of a non-cancerous tumor that can still be threatening to a person’s health if left untreated as it may lead to other conditions.
Filing a Mesothelioma Asbestos Lawsuit
As mentioned above, the cancer treatment for mesothelioma is costly. That is why a number of asbestos-exposure victims have opted to file a mesothelioma asbestos lawsuit. There are currently mesothelioma lawsuit lawyers standing by to help you investigate your mesothelioma claim. Visit the Mesothelioma Asbestos Class Action Lawsuit Settlement Investigation page and receive a free consultation today.
Updated December 19th, 2012
All medical device, dangerous drug and medical class action and lawsuit news updates are listed in the Drug and Medical Device section of Top Class Actions.
Top Class Actions Legal Statement
One thought on Understanding the Different Types of Asbestos Mesothelioma