By Sarah Markley  |  July 27, 2017

Category: Legal News

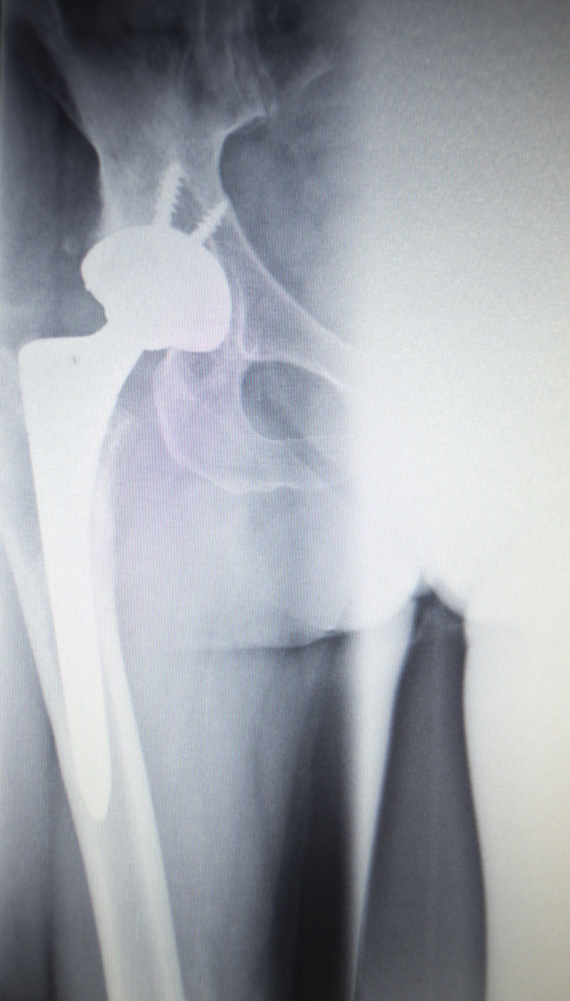
DePuy-ASR-hip-recallHip replacement patients do not expect to have their metal hip replacement recalled. However, over 10,000 hip replacement devices were affected in the recent DePuy ASR hip recall.

What is the DePuy ASR Hip Replacement System?

The DePuy ASR hip replacement system is a metal-on-metal hip system. What this means is that both parts of the ball-in-socket hip implant are metal.

In a natural hip, the top of the main leg bone, the femur, connects to the pelvis. The top of the femur, called the femoral head, is like a ball that fits into a socket, called the acetabulum, in the pelvis. This ball rotates and moves inside the acetabulum to form the hip joint.

In a metal-on-metal hip replacement, a metal cup called an acetabular cup is placed within the acetabulum on the pelvis. A metal ball replaces the femoral head and is connected to the femur by a metal stem.

Often, patients who have this type of device experience complications such as tissue inflammation at the implant site and metallosis.

Metal-on-metal hip implants like the DePuy ASR can shed metal shards into the surrounding tissue and blood causing any of a number of problems including the need for revision surgery.

A metal hip implant is supposed to last the patient for up to 20 years. However, many patients with the DePuy ASR system have needed revision surgery far sooner. Revision surgery is a much more risky surgery with the potential of many more complications than the original hip replacement surgery.

History of the DePuy ASR Hip Recall

In 2005, the DePuy ASR hip system became available for U.S. patients and the U.S. Food and Drug Administration allowed the devices to be implanted without the regular clinical trials usually required for new medical devices.

An independent national registry in the UK found that about 12% of DePuy ASR hip implant patients needed revision surgery within five years because of device failure or other complications.

Consequently, the medical device manufacturers issued a voluntary DePuy ASR hip recall later that year that affected thousands of devices.

Metal-on-Metal Hip Implant Complications

Metal-on-metal hip implants, like the DePuy ASR system, can cause many problems which can lead to the need for hip revision surgery. Additionally, many patients who experience these problems file lawsuits against the medical device makers claiming that they were not warned that their hip implant could lead to so many problems.

The main issue with metal-on-metal hip implants, and what is behind the DePuy ASR hip recall, is the fact that the metal femoral head rubs the acetabular cup during patient movement and metal ions and shards are released into the tissue and blood surrounding the device.

This can cause non-cancerous cysts, metallosis, tissue infection, and device failure. Other problems have been associated with the DePuy ASR system including dislocation of the hip implant, heterotopic ossification, or the calcification of soft tissue, hip infection and osteolysis, or the loss of bone around the replacement.

If you or someone you love has a metal hip implant that qualifies for the DePuy ASR hip recall and has suffered complications or the need for revision surgery, you may be entitled to legal compensation.

Do YOU have a legal claim? Fill out the form on this page now for a free, immediate, and confidential case evaluation. The hip implant attorneys who work with Top Class Actions will contact you if you qualify to let you know if an individual lawsuit or class action lawsuit is best for you. [In general, metal hip implant lawsuits are filed individually by each plaintiff and are not class actions.] Hurry — statutes of limitations may apply.

Learn More

We tell you about cash you can claim EVERY WEEK! Sign up for our free newsletter.


Get Help – It’s Free

Join a Free DePuy ASR Hip Implant Class Action Lawsuit Investigation

An attorney will contact you if you qualify to discuss the details of your potential case at no charge to you.

Please Note: If you want to participate in this investigation, it is imperative that you reply to the law firm if they call or email you. Failing to do so may result in you not getting signed up as a client, if you qualify, or getting you dropped as a client.

E-mail any problems with this form to:
[email protected].

Oops! We could not locate your form.

Leave a Reply

Your email address will not be published. By submitting your comment and contact information, you agree to receive marketing emails from Top Class Actions regarding this and/or similar lawsuits or settlements, and/or to be contacted by an attorney or law firm to discuss the details of your potential case at no charge to you if you qualify. Required fields are marked *

Please note: Top Class Actions is not a settlement administrator or law firm. Top Class Actions is a legal news source that reports on class action lawsuits, class action settlements, drug injury lawsuits and product liability lawsuits. Top Class Actions does not process claims and we cannot advise you on the status of any class action settlement claim. You must contact the settlement administrator or your attorney for any updates regarding your claim status, claim form or questions about when payments are expected to be mailed out.