By Amanda Antell  |  January 23, 2017

Category: Legal News

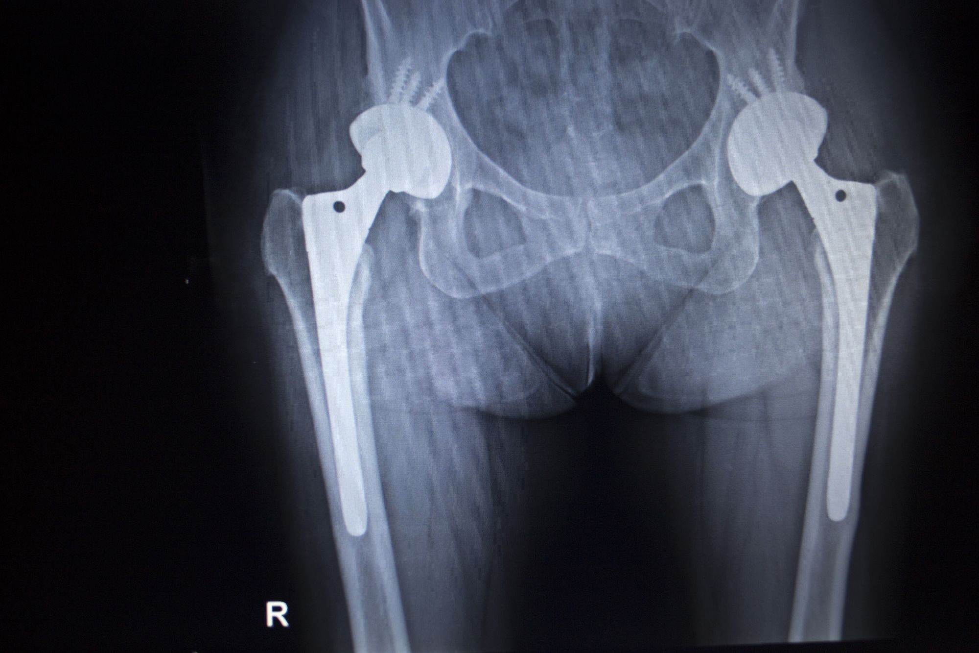
Stryker-recallProsthetic manufacturing giant Stryker Corporation has issued a voluntary recall of its LFIT metal hip implant after numerous complaints were submitted.

The complaints alleged the all metal V40 femoral heads had caused numerous problems, ultimately resulting in the Stryker recall.

The complications that incited the Stryker recall included corrosion, debilitating pain, and blood metal poisoning or metallosis.

Oftentimes, these problems forced patients to undergo revision surgery to either replace or explant the metal-on-metal hip implant.

This Stryker recall affects seven different sizes of the LFIT V40 metal hip implants, with diameters ranging from 36 to 44 millimeters.

While this is not the first time Stryker Corporation has faced criticism for their all metal hip implants, this recall is the most recent in a series of similar complications reported in earlier recalls.

Like with previous metal hip implant recalls, the LFIT V40 hip implant had allegedly been shedding metal ions into the bloodstream at the ball and socket joint.

Also known as fretting, metal ions are shed into the bloodstream when the ball and socket joint components interact. This raises blood metal ion levels to dangerous heights, which causes tissue death and can negatively impact surrounding bone. This leads to further complications like pseudotumor formation, device failure, and infection.

The Stryker recall was also initiated by reports of the LFIT V40 metal hips suddenly dislocating or disconnecting, further adding to the concern surrounding the devices.

Stryker Recall Metal Hip Implant Complications

When metal hip implants were first released into the United States market, they were thought to be overtly superior to their ceramic or plastic counterparts. Metal on metal hip implants were marketed to be more durable and longer lasting, with most models being customizable to patients.

However it was not long after the first models were released that patients reported problems relating to device failure. According to a recent study conducted in July 2012 and published in the Orthopedics medical journal, approximately 95% of patients who receive all-metal hip implants had to undergo revision surgery within three years.

The numerous complaints indicated the LFIT V40 metal hip implant had similar results, which ultimately contributed to the latest Stryker recall. Previously, there had been a Stryker recall in 2012, when the company recalled the Rejuvenate and ABG II modular hip replacements due to reports of device failure and corrosion.

Similar to the LFIT V40 metal hip implants, patients who received the metal hip implant had very high levels of cobalt and chromium in their blood. Even though Stryker allegedly knew of these metal hip implant complications, the company failed to warn patients and surgeons of these problems.

Patients who have suffered metal hip implant complications from a Stryker metal hip implant may be eligible to file legal action against the company.

Do YOU have a legal claim? Fill out the form on this page now for a free, immediate, and confidential case evaluation. The hip implant attorneys who work with Top Class Actions will contact you if you qualify to let you know if an individual lawsuit or class action lawsuit is best for you. [In general, metal hip implant lawsuits are filed individually by each plaintiff and are not class actions.] Hurry — statutes of limitations may apply.

Learn More

We tell you about cash you can claim EVERY WEEK! Sign up for our free newsletter.


Get Help – It’s Free

Join a Free Stryker Metal Hip Replacement Class Action Lawsuit Investigation

An attorney will contact you if you qualify to discuss the details of your potential case at no charge to you.

Please Note: If you want to participate in this investigation, it is imperative that you reply to the law firm if they call or email you. Failing to do so may result in you not getting signed up as a client, if you qualify, or getting you dropped as a client.

Email any problems with this form to [email protected].

Oops! We could not locate your form.

Leave a Reply

Your email address will not be published. By submitting your comment and contact information, you agree to receive marketing emails from Top Class Actions regarding this and/or similar lawsuits or settlements, and/or to be contacted by an attorney or law firm to discuss the details of your potential case at no charge to you if you qualify. Required fields are marked *

Please note: Top Class Actions is not a settlement administrator or law firm. Top Class Actions is a legal news source that reports on class action lawsuits, class action settlements, drug injury lawsuits and product liability lawsuits. Top Class Actions does not process claims and we cannot advise you on the status of any class action settlement claim. You must contact the settlement administrator or your attorney for any updates regarding your claim status, claim form or questions about when payments are expected to be mailed out.